Wir haben nun Tag 29 der Trächtigkeit.
Wie auch schon beim letzten Mal kann man schon ein Minibäuchlein erahnen. Zu Mila's Freude gibt es jetzt immer einen Mittagssnack in Form einer Banane, Quark oder ein gekochtes Ei.
Bis zur Geburt geben wir nicht mehr Futter, aber sie wird ein wenig mehr verwöhnt und zum Ende hin werden die Mahlzeiten in mehrere kleine Rationen aufgeteilt.
Um mal eine Vorstellung zu haben...Die Embroynen sind jetzt etwa Walnussgroß und gleichmäßig im Uterus verteilt. Zehen, Barthaare und Krallen beginnen sich zu entwickeln ♥
Dienstag, 27. Februar 2018
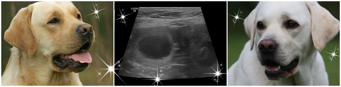
Sonntag, 25. Februar 2018
Geheimnis gelüftet...
Beim gestrigen Ultraschall konnten wir auf Anhieb mehrere Fruchtanlagen sehen.
Wir freuen uns riesig auf unseren E-Wurf ♥
Mila geht es sehr gut. Das Bäuchlein wird nun stetig wachsen und auch ihr Hunger ist groß.
Wir freuen uns riesig auf unseren E-Wurf ♥
Mila geht es sehr gut. Das Bäuchlein wird nun stetig wachsen und auch ihr Hunger ist groß.
Mittwoch, 21. Februar 2018
Das kleine Geheimnis...
...wird noch gut behütet von Mila.
Wir haben nun den 23. Trächtigkeitstag und Mila macht es spannend. Sie rennt und tobt wie immer durch die Gegend. Samstag werden wir es dann endlich wissen, ob wir unsere Osterwelpen bekommen werden.
Bevor das Bäuchlein dann hoffentlich wächst, gibt es noch ein Foto von der Maus
Und noch ein Foto von Mila unter meinem Schreibtisch. Da liegt sie momentan am liebsten :)
Wir haben nun den 23. Trächtigkeitstag und Mila macht es spannend. Sie rennt und tobt wie immer durch die Gegend. Samstag werden wir es dann endlich wissen, ob wir unsere Osterwelpen bekommen werden.
Bevor das Bäuchlein dann hoffentlich wächst, gibt es noch ein Foto von der Maus
| 21. Trächtigkeitstag |
Und noch ein Foto von Mila unter meinem Schreibtisch. Da liegt sie momentan am liebsten :)
Montag, 5. Februar 2018
Mila hatte ein Date mit Butch
Unsere Mila hatte es wohl besonders eilig und startete mit ihrer Läufigkeit schon Mitte Januar. Am 29.01. wurde sie von Butch gedeckt. Alles lief wie im Bilderbuch ♥
Nun warten wir gespannt ab, was der Ultraschall uns in 4 Wochen sagt.
Nun warten wir gespannt ab, was der Ultraschall uns in 4 Wochen sagt.
Abonnieren
Kommentare (Atom)
